■矯正治療はどれくらいかかるのか
「矯正は何年くらいかかるのか」
これは多くの方が最初に気になるポイントです。
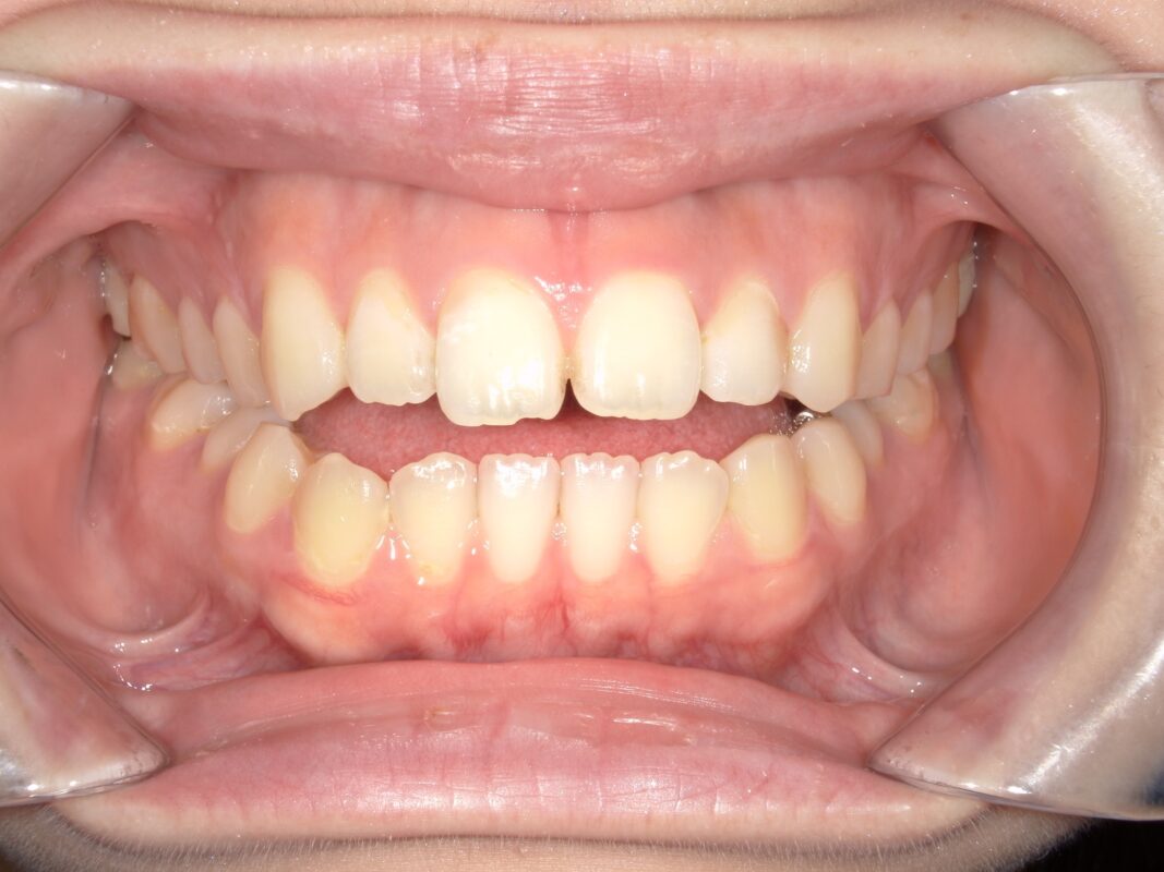
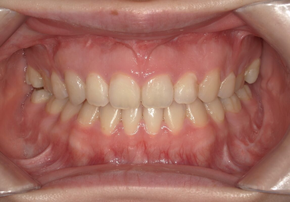
一般的には、矯正治療の期間は1年半〜2年半程度が目安とされています。
ただし、実際には同じように見える歯並びでも、治療期間には個人差があります。
では、その違いはどこから生まれるのでしょうか。


■早く終わる人の特徴
比較的スムーズに治療が進みやすい方には、いくつか共通点があります。
まず、歯並びやかみ合わせのズレが軽度であることです。
動かす距離が少ない分、短期間で整いやすくなります。
また、治療計画がシンプルであることも重要です。
必要な動きが明確で、無理のない計画であれば、効率よく進めることができます。
さらに、患者さんご自身の協力も大きなポイントです。
ゴムかけや装置の使用時間、通院間隔を守ることで、治療は予定通り進みやすくなります。


■長引く人の特徴
一方で、治療が長くなるケースにもいくつかの傾向があります。
例えば、かみ合わせのズレが大きい場合や、歯を大きく移動させる必要がある場合です。
見た目だけでなく、機能面も整える必要があるため、どうしても時間がかかります。
また、複雑な治療計画になっている場合も、期間が延びやすくなります。
必要以上に工程が多くなると、その分だけ治療が長期化する可能性があります。
加えて、装置の使用状況や通院間隔が不安定な場合も、治療が計画通りに進まなくなる原因になります。
■当院が大切にしている考え方
当院では、見た目と機能のバランスを大切にしながら、
できるだけシンプルに、最短距離で整える治療を心がけています。
無理に複雑な方法を選ぶのではなく、
本当に必要な動きだけを見極めることで、結果的に治療期間と負担の軽減につながります。
また、一人の歯科医師が最初から最後まで一貫して担当することで、
治療方針にブレがなく、スムーズに進めることができます。
■矯正期間はコントロールできる部分もある
矯正治療は「時間がかかるもの」というイメージがありますが、
実際には初期の状態・治療計画・進め方によって大きく変わる治療です。
すべてを短縮できるわけではありませんが、
適切な計画と進め方によって、無駄な期間を減らすことは可能です。
■まずはご自身の状態を知ることから
当院では、治療前に期間の目安や進め方についても丁寧にご説明しています。
「自分の場合はどのくらいかかるのか」
それを知るだけでも、不安は大きく軽減されると思います。
無理に治療をすすめることはありませんので、
まずはお気軽にご相談ください。
📞011-855-4182
📍相談予約 https://ssl.haisha-yoyaku.jp/x0836927/login/serviceAppoint/index?SITE_CODE=hp
監修者:湯浅 壽大
歯科医師・歯学博士(D.D.S., Ph.D.)
日本矯正歯科学会認定医|北海道矯正歯科学会・日本舌側矯正歯科学会 会員
2002年に北海道医療大学歯学部を卒業後、同大学大学院歯学研究科で専門性を深める。
2013年に開業して以来、矯正治療を中心に、噛み合わせや見た目の調和を重視した歯科治療を提供。
学会や勉強会に積極的に参加し、最新の矯正技術を取り入れて治療にあたっています。
詳しいプロフィールはこちらhttps://yuasa-orthodontics.com/about
